Soins dentaires à Tenerife : la clinique EL CEDRO
Chez Smile Partner, nous accompagnons les patients vers la clinique EL CEDRO à Tenerife, avec laquelle nous travaillons depuis 2007. Une clinique reconnue pour son plateau technique complet, son laboratoire de prothèse sur place et son expertise en implantologie et reconstruction dentaire.

La clinique dispose de son propre laboratoire de prothèses, permettant de fabriquer et ajuster les restaurations dentaires directement sur place.


L’équipe et l’environnement de la clinique
Prenez 3 minutes pour découvrir la clinique EL CEDRO et l’équipe qui vous accueillera à Tenerife. Dans cette vidéo, découvrez :
-
les chirurgiens-dentistes de la clinique et leur philosophie
-
Virginie et Aymeric, hygiénistes et assistants dentaires, qui accompagnent les patients au quotidien
-
le laboratoire de prothèses et les équipements de la clinique
-
l’ambiance et l’esprit d’équipe qui caractérisent la clinique EL CEDRO
Les spécialités dentaires de la clinique EL CEDRO à Tenerife
L’équipe médicale de la clinique EL CEDRO à Tenerife accompagne principalement des patients qui envisagent des soins dentaires importants, notamment pour remplacer plusieurs dents ou restaurer une dentition abîmée.
Nous l’avons sélectionnée pour l’expérience de son équipe et la qualité de son organisation des soins, particulièrement adaptées aux projets de traitements implantaires.
Implantologie dentaire
Pose d’implants dentaires pour remplacer une ou plusieurs dents manquantes et restaurer une fonction masticatoire stable.
Reconstruction prothétique
Couronnes et bridges en céramique permettant de restaurer l'esthétique ou remplacer des dents abîmées ou absentes.
Parodontologie
Traitement des maladies des gencives et du déchaussement dentaire afin de préserver la santé et la stabilité des dents.
Chirurgie dentaire
Prise en charge de situations plus complexes, notamment les greffes osseuses et les élévations sinusales lorsque cela est nécessaire pour la pose d’implants.
Les dentistes de la clinique EL CEDRO à Tenerife

Diplômé de la faculté dentaire de Lyon, le Dr Olivier Bournay possède également un Master en parodontologie de l’Université de Boston.
Inscrit à l’Ordre des chirurgiens-dentistes de Tenerife, il exerce depuis plus de 50 ans et supervise l’équipe médicale de la clinique.
Le Dr Bournayl intervient notamment dans les cas implantaires complexes, comme certaines situations nécessitant des implants juxta-osseux.
Implantologie orale
Parle français

Diplômé de la faculté dentaire de Rome, le Dr Luca Stahl exerce depuis plus de 30 ans.
Spécialisé en implantologie et prothèses dentaires, il possède également une expertise dans les techniques de régénération osseuse guidée (ROG).
Il participe à la prise en charge des traitements implantaires et prothétiques au sein de l’équipe médicale de la clinique.
Implantologie orale
Parle français

Diplômée de la faculté dentaire de Bratislava, le Dr Jana Bacharova exerce depuis plus de 20 ans.
Spécialisée en implantologie, endodontie et prothèses dentaires, elle intervient dans des traitements visant à restaurer durablement la fonction et l’esthétique du sourire.
Elle participe à la prise en charge des patients au sein de l’équipe médicale de la clinique.
Implantologie orale
Parle français
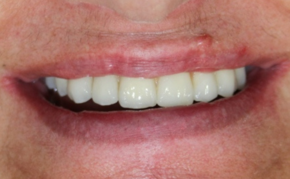
Marie Sophie, soignée à la clinique
El Cedro Ténérife : avant / après
Situation dentaire avant soins : édentement partiel et dents très abîmées
Soins réalisés : 14 implants, greffe osseuse, 2 bridges complets en céramique zirconium
Destination : Clinique El Cedro, Tenerife 🇪🇸
Prix avec Smile Partner : 22 500 €
L'avis de Marie Sophie★★★★★
"Je suis ravie du résultat ! Quel professionnalisme de Smile Partner et des équipes de la clinique El Cedro. 2 séjours qui se sont très bien déroulés, des soins de qualité et sans douleurs. Un accompagnement parfait, une organisation logistique et administrative sans faille : on se laisse guider, une prise en charge totale de A à Z."
— Marie Sophie, 65 ans


Soins réalisés par les chirurgiens-dentistes de nos cliniques partenaires en Europe. Smile Partner assure l'accompagnement et l'organisation du parcours de soins.
Vous envisagez une reconstruction dentaire à Tenerife ?
Chaque situation est différente.
Recevez une première analyse personnalisée avant toute décision.
🟢 Réponse sous 24h 🟢 Sans engagement 🟢 Données protégées
À qui s’adresse réellement ce type de projet ?
El Cedro s’adresse aux patients francophones qui envisagent des soins dentaires importants et souhaitent une solution durable, encadrée et structurée.
Cela a du sens si :
✅ Vous avez besoin d’implants dentaires
pour remplacer une ou plusieurs dents manquantes
✅ Vous avez besoin d’une reconstruction prothétique
couronnes ou bridges pour restaurer des dents abîmées ou absentes
✅ Vous envisagez une réhabilitation complète
pour retrouver une fonction masticatoire et un confort durables
✅ Les solutions proposées en France ne sont pas adaptées
délais trop longs, solution provisoire, traitement qui ne vous convient pas
Ce n’est pas pertinent si :
❌ Il s’agit de soins courants
carie, détartrage, contrôle
❌ Vous avez besoin d’un suivi orthodontique régulier
appareil ou aligneurs nécessitant des ajustements fréquents
❌ Vous recherchez des soins esthétiques légers
blanchiment, actes purement esthétiques
❌ Votre priorité est uniquement le prix
sans prise en compte de l’accompagnement et du suivi
Ces situations vous parlent ?
Découvrez des retours de patients ayant réalisé leurs soins à la clinique El Cedro.



Quel budget prévoir pour refaire une réhabilitation complète en Espagne ?
Lorsqu’une réhabilitation complète est nécessaire, le traitement repose généralement sur 6 à 8 implants par mâchoire, sur lesquels est fixé un bridge complet en céramique.
Les montants varient selon le nombre d’implants nécessaires, l’état osseux, le type de bridge et le plan de traitement personnalisé.
Comparaison indicative des budgets
Les montants ci-dessous comparent des solutions équivalentes en Espagne et en France.
| Espagne | France | |
| 1 mâchoire complète | 10 000 € – 12 500 € | 17 500 € – 20 000 € |
| 2 mâchoires complètes | 20 000 € – 25 000 € | 35 000 € – 40 000 € |
L’écart tarifaire s’explique principalement par les différences de coûts de structure et d’environnement économique, et non par la qualité des soins ou des matériaux utilisés.
Pour de nombreux patients, cette différence peut représenter jusqu'à 50 % d’économie, sans compromis sur le protocole médical.
Les soins dentaires en Espagne sont-ils remboursés ?
Les soins réalisés dans une clinique située au sein de l’Union européenne peuvent être remboursés par l’Assurance Maladie française, sur la base des tarifs en vigueur. Votre mutuelle peut compléter selon votre contrat.
→ Les documents nécessaires sont fournis par la clinique afin de faciliter vos démarches.
Une décision réfléchie, un parcours rassurant
Cette différence de budget a été déterminante pour Anita. Après avoir comparé les devis en France, il a choisi de réaliser ses soins dentaires à Barcelone.
Voici son retour d’expérience.
« Souffrant de parodontite, mes dents commençaient à bien bouger. Il fallait faire quelque chose d'urgence.
J'allais aux Canaries pour mes vacances et en discutant de mes soins avec une amie elle m'a parlé de Smile Partner. J'en ai profité pour jumeler les deux. »
Clinique dentaire à Tenerife : les 5 questions les plus posées
Où se situe la clinique EL CEDRO à Tenerife et comment y accéder ?
La clinique EL CEDRO est située à Costa Adeje, l’une des zones les plus prisées du sud de Tenerife, à proximité des principaux hôtels et zones touristiques. La clinique est facilement accessible depuis l’aéroport de Tenerife Sud, situé à environ 20 minutes en voiture. Des taxis, navettes et voitures de location permettent de rejoindre rapidement la clinique. Cette localisation permet aux patients venant de France d’organiser facilement leur séjour, tout en profitant du cadre agréable de Tenerife entre les rendez-vous de soins.
Quelles marques d’implants dentaires sont utilisés à la clinique EL CEDRO ?
La clinique utilise des implants dentaires reconnus au niveau international, sélectionnés pour leur fiabilité et leur traçabilité. Les chirurgiens-dentistes travaillent notamment avec des marques reconnues en implantologie comme Nobel Biocare, Straumann et Anthogyr, utilisées dans de nombreuses cliniques spécialisées.
Quelles techniques implantaires sont utilisées à la clinique EL CEDRO ?
La clinique EL CEDRO utilise des techniques modernes d’implantologie permettant d’adapter les traitements à la situation de chaque patient. Dans certaines situations, les chirurgiens-dentistes peuvent notamment réaliser :
- la mise en charge immédiate, qui permet de poser une prothèse provisoire peu de temps après la pose des implants lorsque les conditions le permettent
- la technique flapless, qui consiste à poser l’implant avec une intervention plus légère, sans incision importante de la gencive
Ces approches peuvent permettre une récupération plus rapide et un meilleur confort post-opératoire, lorsqu’elles sont adaptées au cas du patient. La décision dépend toujours du diagnostic et du plan de traitement établis par les chirurgiens-dentistes de la clinique.
Combien de séjours sont nécessaires pour des implants dentaires à Tenerife ?
Dans la plupart des cas, les traitements implantaires sont organisés en deux séjours de soins. Le premier séjour permet de réaliser la chirurgie implantaire, et le second permet de poser les prothèses dentaires définitives après la période de cicatrisation.
Comment Smile Partner accompagne les patients dans leur projet de soins ?
Smile Partner accompagne les patients dans l’organisation de leurs soins dentaires à l’étranger. L’équipe aide à transmettre le dossier médical aux cliniques partenaires, expliquer les devis réalisés par les dentistes et sécuriser le parcours de soins.
Vous envisagez une reconstruction dentaire à Tenerife ?
Chaque situation est différente.
Recevez une première analyse personnalisée avant toute décision.
🟢 Réponse sous 24h 🟢 Sans engagement 🟢 Données protégées