Envoi du formulaire en cours. Veuillez ne pas fermer cette page.
Caroline Freuchet
Caroline, fondatrice Smile Partner

Vous recherchez une alternative de soins de qualité à des prix accessibles ? Vous êtes au bon endroit !

Besoin d’un devis gratuit ?

Notre équipe d’experts vous apporte conseils et informations fiables sur les soins dentaires.

    Veuillez taper votre nom.
    Veuillez taper votre prénom.
    Veuillez taper une adresse email valide.
    Veuillez taper un numéro de téléphone valide.
    Veuillez renseigner votre message.
    Veuillez accepter cette condition.
    Veuillez accepter cette condition.

    Connexion SSL certifiée : en cliquant sur "Envoyer" vous acceptez de recevoir des informations par e-mail de la part de Smile Partner.

    *Champs obligatoires

    Ce qu'il faut retenir :

    • Le déchaussement des dents résulte le plus souvent de plusieurs facteurs qui agissent ensemble, parfois sur plusieurs années.

    • La parodontite est la cause la plus fréquente du déchaussement dentaire ; elle est souvent précédée d’une gingivite non traitée.

    • Une mauvaise hygiène bucco-dentaire ou un brossage trop agressif, peuvent fragiliser les gencives et favoriser leur rétraction.

    • Le tabagisme, le bruxisme, les déséquilibres hormonaux ou certaines maladies peuvent aggraver un déchaussement déjà engagé.

    • Des causes plus rares existent : prédispositions génétiques, traitements médicaux ou agressions mécaniques répétées.

    • Le déchaussement évolue souvent sans douleur au début, ce qui explique pourquoi il est parfois découvert tardivement.

    Pourquoi une dent se déchausse-t-elle ?

    Quelle que soit la cause, une dent qui se déchausse suit toujours le même scénario : les tissus qui la maintiennent en place s’abîment.

    Pour bien comprendre, il faut savoir qu’une dent ne tient pas “toute seule”. Elle est maintenue grâce à trois éléments essentiels :

    • La gencive, qui entoure la dent et la protège des bactéries.

    • Le ligament parodontal, un petit “coussin” de fibres qui relie la dent à l’os et absorbe les chocs quand on mâche.

    • L’os de la mâchoire, dans lequel la dent est solidement ancrée.

    Quand ces éléments sont en bonne santé, la dent est stable. Mais dès qu’ils sont fragilisés, la dent commence à perdre son soutien.

    Un point commun à toutes les causes

    Toutes les causes du déchaussement des dents, même très différentes en apparence, finissent par provoquer les mêmes effets :

    • Une inflammation, souvent liée aux bactéries présentes dans la bouche, qui attaque la gencive et l’os.

    • Des pressions trop fortes ou mal réparties, par exemple quand on serre ou grince des dents, ou quand les dents sont mal alignées.

    • Un affaiblissement des tissus, lié à l’âge, à certaines maladies, à des changements hormonaux ou à de mauvaises habitudes.

    Avec le temps, ces agressions répétées font reculer la gencive et fragilisent l’os. La dent perd peu à peu son point d’ancrage et donne l’impression de sortir de la gencive : c’est ce qu’on appelle le déchaussement.

    Déchaussement dentaire :
    comment obtenir un devis ?

    Si vous êtes concerné par un déchaussement des dents et que vous envisagez des soins, la première étape consiste à faire le point sur votre situation afin d’obtenir un devis adapté. Vous pouvez demander un devis gratuit en contactant Smile Partner par téléphone ou en remplissant le formulaire disponible sur notre site.

    Si vous disposez déjà d’examens récents (comme une radiographie panoramique dentaire ou un compte rendu médical), vous pouvez les joindre à votre demande. Cela permet d’apporter des informations utiles à nos chirurgiens-dentistes partenaires.

    Votre situation mérite un avis professionnel

    Vous constatez un déchaussement de vos dents et vous vous interrogez ? Nos conseillers vous accompagnent pour faire le point.

    Les causes fréquentes du déchaussement des dents

    Dans la grande majorité des cas, le déchaussement des dents n’apparaît pas par hasard. Il est lié à des causes courantes, souvent silencieuses au début, mais bien connues des professionnels de santé dentaire. Identifier ces causes permet de mieux comprendre pourquoi le problème s’installe progressivement.

      1 Les maladies parodontales 3 Le brossage trop agressif
      2 La mauvaise hygiène bucco-dentaire 4 Le tabagisme

     

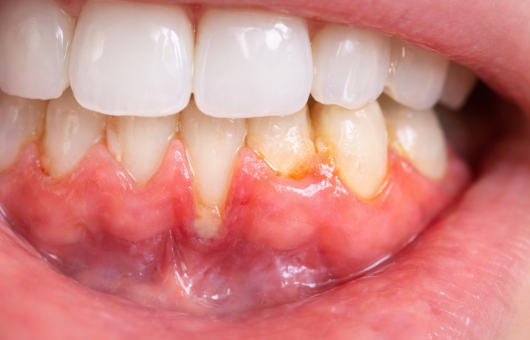
    1. Les maladies parodontales
    (la cause la plus fréquente)

    La maladie parodontale est, de loin, la principale cause du déchaussement des dents chez l’adulte. Dans la majorité des cas, lorsqu’une dent commence à bouger ou à se déchausser, une atteinte parodontale est en cause, parfois installée depuis plusieurs années.

    • Gingivite : le point de départ
    • Parodontite : la cause directe

    La gingivite est très souvent la première étape qui mène, à terme, au déchaussement des dents. C’est une inflammation des gencives causée par l’accumulation de bactéries présentes dans la plaque dentaire.

    Lorsque le brossage est insuffisant ou mal réalisé, cette plaque s’accumule au niveau de la gencive. Les bactéries qu’elle contient irritent les tissus, ce qui provoque une réaction inflammatoire. Les gencives deviennent alors rouges, gonflées et sensibles, et peuvent saigner lors du brossage ou de l’utilisation du fil dentaire.

    À ce stade, la situation peut sembler anodine. La dent est encore bien maintenue dans l’os, il n’y a généralement pas de douleur, et beaucoup de personnes pensent que ces petits saignements sont normaux. Pourtant, la gingivite est un signal d’alerte important.

    → La bonne nouvelle, c’est que la gingivite est réversible si elle est prise en charge à temps. Une amélioration de l’hygiène bucco-dentaire et un suivi professionnel peuvent suffire à faire disparaître l’inflammation. En revanche, si elle n’est pas traitée, l’inflammation persiste et s’aggrave progressivement.

    La parodontite est une évolution de la gingivite non traitée et représente la principale cause du déchaussement des dents. Contrairement à la gingivite, la parodontite ne se limite plus à la gencive. L’inflammation s’étend aux tissus profonds qui assurent le maintien de la dent, notamment le ligament parodontal et surtout l’os de la mâchoire.

    Sous l’effet de l’infection bactérienne chronique, l’os commence à se résorber progressivement autour de la dent. Cette destruction osseuse est silencieuse et peut évoluer pendant des mois, voire des années, sans provoquer de douleur. C’est précisément ce caractère discret qui rend la parodontite particulièrement dangereuse.

    Au fur et à mesure que l’os disparaît, la dent perd son point d’ancrage. Les gencives se rétractent, les racines deviennent visibles, et la dent peut commencer à bouger, donnant la sensation qu’elle n’est plus stable. À ce stade, on parle clairement de déchaussement dentaire.

    → Sans traitement adapté, elle peut conduire à la perte définitive des dents.

    Dents qui bougent : Parlons-en !

    Nos experts Smile Partner sont à votre écoute pour faire le point sur votre situation et vous orienter vers les solutions adaptées.

    2. La mauvaise hygiène bucco-dentaire

    Une hygiène bucco-dentaire insuffisante ou inadaptée est également une cause courante du déchaussement des dents. Dans la pratique, il ne s’agit pas seulement d’un manque de brossage, mais aussi de gestes incomplets ou mal ciblés. Un brossage trop rapide, l’oubli des zones proches de la gencive ou l’absence de nettoyage entre les dents favorisent l’accumulation de dépôts invisibles à l’œil nu. Ces dépôts finissent par durcir et former du tartre, en particulier sous la gencive, là où la brosse ne peut plus agir.

    Avec le temps, cette accumulation crée un environnement propice au développement de bactéries, qui fragilisent progressivement les tissus de soutien de la dent. Le problème est que cette évolution est souvent silencieuse. En dehors de légers saignements occasionnels ou d’une sensibilité passagère, il n’y a généralement aucun signal d’alerte clair.

    C’est ce caractère discret qui explique pourquoi beaucoup de personnes consultent tardivement. Lorsque les premiers signes visibles apparaissent (gencive qui recule, dents qui semblent plus longues, début de mobilité) les tissus de soutien sont déjà affaiblis. À ce stade, le déchaussement est souvent bien engagé.

    3. Le brossage trop agressif

    Un brossage mal adapté peut, à lui seul, fragiliser les gencives et favoriser le déchaussement des dents, même en l’absence de maladie parodontale au départ.

    Une pression excessive sur la gencive

    Beaucoup de personnes pensent qu’un brossage appuyé nettoie mieux. En réalité, une pression trop forte irrite la gencive jour après jour. Ce traumatisme répété provoque une rétraction progressive de la gencive, qui se retire de la dent pour se protéger.

    L’utilisation d’une brosse à dents trop dure

    Les brosses à poils durs ou usés accentuent l’agression mécanique des tissus gingivaux. À long terme, elles favorisent l’usure de la gencive au niveau du collet de la dent, une zone particulièrement fragile, ce qui accélère la récession gingivale.

    Une mauvaise technique de brossage

    Les gestes horizontaux répétés, surtout au niveau de la jonction entre la dent et la gencive, sont l’une des causes les plus fréquentes de recul gingival. Cette technique inadaptée agit comme un frottement constant qui fragilise les tissus, même avec un brossage régulier.

    Une exposition progressive de la racine dentaire

    Avec le temps, la gencive qui se rétracte laisse apparaître la racine de la dent. La dent semble alors plus longue et devient plus sensible. Cette exposition facilite ensuite l’accumulation de bactéries dans une zone difficile à nettoyer, ce qui peut aggraver le déchaussement si rien n’est corrigé.

    4. Le tabagisme

    Le tabac est l’un des facteurs aggravants les plus importants du déchaussement des dents. Son action est souvent sous-estimée, car ses effets sont à la fois discrets et progressifs.

    Il masque les signes d’alerte

    Les gencives des fumeurs saignent moins. Cela donne une fausse impression de bonne santé gingivale et retarde la consultation. En réalité, la maladie évolue en silence, pendant des années.

    Il accélère le déchaussement

    Le tabac réduit la circulation sanguine, ce qui diminue les capacités à se défendre contre les bactéries et à cicatriser. Les tissus de soutien se fragilisent plus rapidement et l’os se détruit plus vite.

    Vous avez des questions et vous souhaitez des réponses dès maintenant ?

    Contactez nos conseillers en France, au 02 41 48 44 09, ils vous répondent du lundi au vendredi de 09h à 18h.

    Charles au téléphone avec un patient

    Les causes aggravantes du déchaussement dentaire

    Certaines situations ne provoquent pas directement un déchaussement dentaire, mais peuvent l’aggraver fortement ou accélérer son évolution lorsqu’un problème est déjà présent. Ces causes aggravantes fragilisent les tissus de soutien des dents et rendent le déchaussement plus rapide ou plus marqué.

    Cause aggravante Ce qui se passe concrètement Impact sur le déchaussement
    Bruxisme (grincement ou serrage des dents) Les dents subissent des pressions excessives et répétées, souvent la nuit, sans que la personne en soit consciente. Fragilise le ligament et l’os de soutien, accélère la perte d’ancrage d’une dent déjà affaiblie.
    Contraintes mécaniques répétées Mauvais alignement des dents ou forces de mastication mal réparties. Augmente la sollicitation de certaines dents et favorise leur déchaussement progressif.
    Déséquilibres hormonaux Les variations hormonales rendent les gencives plus sensibles et plus réactives aux bactéries. Aggrave l’inflammation existante et favorise la rétraction gingivale.
    Maladies (diabète, maladies auto-immunes, etc.) Les défenses immunitaires sont affaiblies et la cicatrisation est ralentie. Accélère l’évolution des maladies parodontales et du déchaussement.
    Carences nutritionnelles Manque de vitamines ou de minéraux essentiels à la santé des gencives et de l’os. Fragilise les tissus de soutien et rend le déchaussement plus rapide.

    Des causes plus rares
    du déchaussement dentaire

    Facteurs génétiques et médicamentaux

    Certaines causes du déchaussement des dents sont moins courantes, mais elles dépendent fortement du profil de la personne. Elles peuvent expliquer pourquoi le déchaussement apparaît parfois chez des patients ayant une bonne hygiène bucco-dentaire ou sans facteur évident au départ.

    01
    Possibilité n°1 :
    Les facteurs génétiques et familiaux

    La génétique peut influencer la manière dont les gencives et l’os réagissent aux bactéries naturellement présentes dans la bouche. Certaines personnes présentent une prédisposition familiale aux maladies parodontales, indépendamment de leur hygiène.

    Dans ces situations, le système immunitaire peut réagir de façon excessive ou, au contraire, insuffisante face aux bactéries. Cette réaction inadaptée favorise une inflammation plus rapide et plus intense des tissus de soutien, ce qui augmente le risque de déchaussement dentaire.

    02
    Possibilité n°2 :
    Les traitements médicaux

    Certains traitements médicaux peuvent diminuer la production de salive. Or, la salive joue un rôle essentiel dans la protection de la bouche contre les bactéries. Une bouche plus sèche devient alors plus vulnérable aux inflammations gingivales, ce qui peut favoriser, à long terme, un déchaussement dentaire.

    Facteurs uniquement mécaniques

    D’autres causes, moins fréquentes, sont liées à des agressions mécaniques répétées ou à des contraintes anormales exercées sur les dents et les gencives.

    01
    Possibilité n°1 :
    Les traumatismes dentaires répétés

    Les chocs sur les dents, même lorsqu’ils semblent bénins, peuvent fragiliser les tissus de soutien. Les sports de contact, les chutes ou les impacts répétés peuvent endommager le ligament parodontal ou l’os autour de la dent.

    Même si la dent paraît stable après le traumatisme, ces tissus peuvent rester affaiblis. Avec le temps, cette fragilité peut favoriser une perte progressive d’ancrage et conduire à un déchaussement, parfois plusieurs mois ou années après le choc initial.

    02
    Possibilité n°2 :
    Les piercings buccaux

    Les piercings au niveau de la langue ou de la lèvre peuvent provoquer des frottements constants contre les gencives et les dents. Ces micro-agressions répétées finissent par irriter la gencive, la fragiliser et favoriser sa rétraction.

    Certaines habitudes orales, comme mâchouiller des objets ou exercer une pression répétée avec la langue contre les dents, peuvent produire des effets similaires sur le long terme. Ces gestes, souvent inconscients, créent un stress mécanique continu qui peut contribuer au déchaussement dentaire.

    Toutes les causes du déchaussement des dents
    provoquent des douleurs ?

    Dans de nombreux cas, la gencive peut se rétracter progressivement, l’os de soutien se fragiliser, sans que la personne ne ressente de douleur particulière. C’est d’ailleurs pour cette raison que le déchaussement est souvent découvert tardivement, lorsque la dent semble plus longue ou commence à bouger.

    Quand consulter et vers qui se tourner
    en cas de déchaussement dentaire ?

    En cas de déchaussement dentaire, il est essentiel de s’appuyer sur un diagnostic précis. Les cliniques dentaires partenaires de Smile Partner sont spécialisées en parodontologie. Elles réalisent un diagnostic complet, et sont en mesure de mettre en place le traitement nécessaire, adapté à chaque situation.

    En savoir plus sur cette clinique
    clinique dentaire el cedro tenerife

    Clinique EL CEDRO

    Tenerife
    Espagne
    En savoir plus sur cette clinique
    Dr Leticia Rodriguez clinique EL Cedro Barcelone

    Clinique EL CEDRO

    Barcelone
    Espagne
    En savoir plus sur cette clinique
    clinique kiralydent en hongrie

    Clinique KIRALYDENT

    Budapest
    Hongrie
    En savoir plus sur cette clinique
    clinique dentaire mercz dental

    Clinique MERCZ DENTAL

    Budapest
    Hongrie

    Questions fréquentes

    Quelle maladie provoque le déchaussement des dents ?

    Le déchaussement des dents est principalement causé par une maladie parodontale, qui débute souvent par une gingivite non traitée. Avec le temps, cette inflammation peut évoluer vers une parodontite et provoquer une rétraction des gencives et une perte de soutien osseux.

    Quelles sont les causes d’une dent qui se déchausse ?

    Une dent se déchausse généralement à cause d’une inflammation chronique liée aux bactéries, associée à une fragilisation des tissus de soutien. Des facteurs mécaniques comme le bruxisme, un brossage agressif ou un mauvais alignement dentaire peuvent aussi aggraver le phénomène.

    Est-ce qu’une dent qui se déchausse fait mal ?

    Pas forcément. Le déchaussement des dents est souvent indolore au début, ce qui explique qu’il passe inaperçu. La douleur apparaît surtout à un stade plus avancé ou en cas de complication, comme une infection ou une forte mobilité dentaire.

    Qui consulter en cas de déchaussement dentaire ?

    En cas de déchaussement dentaire, il est conseillé de consulter d’abord un dentiste généraliste, qui pourra évaluer la situation. Si une maladie parodontale est suspectée ou confirmée, il orientera vers un parodontiste, le spécialiste des gencives.

    Envie d’en savoir plus ?

    Rédactrice web chez Smile Partner
    Article rédigé par : Solyne PROUST, Rédactrice web pour Smile Partner

    Solyne est rédactrice web pour l’agence Smile Partner. Dotée d’une forte appétence pour la lecture et l’écriture, elle aime apprendre quotidiennement et développer ses connaissances en matière de soins dentaires auprès de nos dentistes partenaires.

    Dr Erika BALAZS
    Article vérifié par : Dr Erika BALAZS Chirurgien-dentiste à la clinique KIRALYDENT

    Diplômée en chirurgie dentaire, le Dr Erika BALAZS s’est spécialisée en implantologie orale, dentisterie prothétique et esthétique dentaire. Sa volonté : favoriser la prévention dentaire en communiquant à ses patients les bonnes techniques d’hygiène afin qu’ils maintiennent une dentition saine à l’issue du traitement.

    On ne se quitte plus

    Retrouvez-nous sur les réseaux sociaux.