Envoi du formulaire en cours. Veuillez ne pas fermer cette page.
Caroline Freuchet
Caroline, fondatrice Smile Partner

Vous recherchez une alternative de soins de qualité à des prix accessibles ? Vous êtes au bon endroit !

Besoin d’un devis gratuit ?

Notre équipe d’experts vous apporte conseils et informations fiables sur les soins dentaires.

    Veuillez taper votre nom.
    Veuillez taper votre prénom.
    Veuillez taper une adresse email valide.
    Veuillez taper un numéro de téléphone valide.
    Veuillez renseigner votre message.
    Veuillez accepter cette condition.
    Veuillez accepter cette condition.

    Connexion SSL certifiée : en cliquant sur "Envoyer" vous acceptez de recevoir des informations par e-mail de la part de Smile Partner.

    *Champs obligatoires

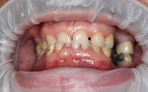
    Avant / Après : le nouveau sourire de Michel

    

    Michel, 58 ans, soins réalisés en mai 2022

    probleme de dentDents manquantes, fragilisées et gêne fonctionnelle à la mastication.

    dentisteExtractions, pose de 7 implants, allongement coronaire sur 4 dents et pose des 2 bridges dentaires de 12 unités.

    horloge9 mois (5 visites)

    symbole euro18 610 €

    picto checkClinique El Cedro Barcelone

    sourire avant apres

    Le parcours de Michel : du complexe au sourire retrouvé

    Originaire de la région Provence-Alpes-Côte d’Azur, Michel, 58 ans, souffrait depuis plusieurs années de dents manquantes et de restaurations vieillissantes qui avaient progressivement fragilisé sa dentition. Cette situation entraînait une gêne importante à la mastication et une perte de confort.

    Malgré plusieurs consultations en France, les solutions proposées ne permettaient pas de répondre durablement à son besoin de réhabilitation globale, et les devis annoncés restaient trop élevés.

    “Je n’étais plus à l’aise pour sourire et manger normalement était devenu compliqué. J’avais besoin d’une vraie solution."

    Désireux de retrouver une dentition complète, fonctionnelle et esthétique, Michel a fait appel à Smile Partner pour organiser sa réhabilitation dentaire complète à la clinique El Cedro à Barcelone.

    Grâce à cette prise en charge, Michel a retrouvé :

    • une dentition fixe, solide et esthétique,
    • le confort de mastication qu’il avait perdu,
    • et surtout le plaisir de sourire pleinement.

    “Le traitement s’est déroulé dans d’excellentes conditions. Je me sens enfin à l’aise, je peux manger et sourire sans complexe."

    patient clinique barcelone

    Les étapes du traitement : comment Michel a retrouvé une dentition saine

    L’intervention de Michel s’est déroulée en plusieurs séjours coordonnés par Smile Partner en collaboration avec la clinique El Cedro à Barcelone. Tout au long du parcours, le patient a bénéficié d’un accompagnement constant de l’équipe médicale et de l’agence.

    • Étape 1 – Préparation et planification du traitement

    Lors de sa première visite, d’une durée de deux jours, Michel a réalisé un bilan bucco-dentaire complet comprenant un scanner 3D et un détartrage. Les empreintes nécessaires à la fabrication des prothèses provisoires ont été prises pour les deux mâchoires, garantissant une phase de transition confortable avant la pose des implants.

    • Étape 2 – Pose des implants et soins chirurgicaux

    Deux mois plus tard, Michel est revenu pour une seconde visite de trois jours. Ce séjour a permis la pose de sept implants dentaires en titane (quatre au maxillaire supérieur et trois à l’inférieur), ainsi que plusieurs extractions et allongements coronaires afin d’optimiser la stabilité du futur travail prothétique. Une radio panoramique de contrôle a été effectuée pour valider le positionnement des implants avant la phase de cicatrisation.

    • Étape 3 – Phase prothétique et finitions

    Cinq mois après la pose, Michel a retrouvé la clinique pour la mise en place des piliers prothétiques, suivie, lors de visites ultérieures, des empreintes pour les prothèses définitives puis de la pose de 24 couronnes et bridges céramiques sur base zircone. Un dernier contrôle radiographique et la confection de gouttières de protection sont venus clôturer le traitement.

    Grâce à ce protocole précis et progressif, Michel a retrouvé une dentition complète, solide et esthétique, avec un résultat naturel et durable. L’intervention, réalisée dans des conditions de confort optimales, lui a permis de retrouver confiance et aisance au quotidien, tout en réalisant une économie de près de 6 400 € par rapport au devis initial établi en France.

    Le avant/après
    de Michel

    Nos chirurgiens-dentistes partenaires sont experts en réhabilitation dentaire complète, qui consiste à restaurer l’ensemble de votre dentition, en général pour des raisons fonctionnelles et esthétiques afin d’améliorer votre état de santé générale.

    Comme les dents sont toutes interdépendantes, il est important de les soigner ou de les remplacer toutes en même temps pour retrouver une dentition saine et pérenne. Grâce à cette approche globale, ils sont ainsi capables de prendre en charge tous les soins dont vous avez besoin. Découvrez les résultats en image de nos patients avec des photos avant après de leur sourire.

    Souhait de Michel : retrouver une dentition complète et esthétique.

    Situation dentaire avant soins : plusieurs dents manquantes et des dents affaiblies.

    Soins réalisés : réhabilitation complète des deux arcades

    • Maxillaire supérieur : allongement coronaire, pose de 4 implants, puis 12 couronnes et bridges céramiques zircone.
    • Maxillaire inférieur : extractions, pose de 3 implants, puis 12 couronnes et bridges céramiques zircone.

    Prix avec Smile Partner : 18 610€
    Prix des devis en France : min. 25 000€

    Après
    photo-apres-soins-dentaires
    Avant
    photo-avant-soins-dentaires

    Souhait de Martine : corriger l'alignement de son sourire et changer d'anciennes couronnes

    Situation dentaire avant soins : dents fragilisées, sensibles qui se déchaussent et déséquilibrent son sourire

    Soins réalisés : reconstruction esthétique totale sur dents naturelles

    • Maxillaire supérieur : bridge de 10 unités en céramo-métal sur racines
    • Maxillaire inférieur : bridge de 10 unités en céramo-métal sur racines

    Prix avec Smile Partner : 6 780€
    Prix constaté en France : 11 300€

    Après
    sourire après soins martine
    Avant
    sourire avant soins martine

    Souhait de Francine : retrouver une dentition saine et corriger l'alignement de son sourire

    Situation dentaire avant soins : dents cariées particulièrement en maxillaire inférieur au niveau des molaires

    Soins réalisés : reconstruction esthétique totale sur dents naturelles

    • Maxillaire supérieur : bridge de 14 unités en zircone sur racines naturelles
    • Maxillaire inférieur : bridge de 14 unités en zircone sur racines naturelles

    Prix avec Smile Partner : 12 415€
    Prix constaté en France : 20 690€

    Après
    sourire après francine
    Avant
    sourire avant francine

    Souhait de Bernard : retrouver le rôle fonctionnel de ses dents pour manger normalement

    Situation dentaire avant soins : parodontite avancée qui a entrainé le déchaussement et la perte de plusieurs de dents

    Soins réalisés : reconstruction totale sur implants

    • Maxillaire supérieur : prothèse transvissée en résine sur 6 implants
    • Maxillaire inférieur : prothèse transvissée en résine sur 6 implants

    Prix avec Smile Partner : 16 995€
    Prix constaté en France : 28 325€

    Après
    sourire bernard apres
    Avant
    sourire bernard avant

    Souhait de Pascal : avoir des dents solides et retrouver le plaisir de manger

    Situation dentaire avant soins : problèmes dentaires héréditaires provoquant le déchaussement jusqu'à la perte de dents

    Soins réalisés : reconstruction totale sur implants

    • Maxillaire supérieur : extractions + sinus lift + bridge complet sur 9 implants
    • Maxillaire inférieur : extraction + greffe osseuse + bridge complet sur 6 implants

    Prix avec Smile Partner : 26 170€
    Prix constaté en France : 43 620€

    Après
    sourire de pascal après
    Avant
    sourire de pascal avant

    Souhait d'Élodie : retrouver un sourire harmonieux, esthétique et naturel

    Situation dentaire avant soins : dents tâchées et trous dans les dents à cause de caries à répétition

    Soins réalisés : reconstruction esthétique sur dents naturelles

    • Maxillaire supérieur : bridge de 10 unités en céramique base zirconium
    • Maxillaire inférieur : bridge de 3 unités en céramo-métal

    Prix avec Smile Partner : 5 254€
    Prix constaté en France : 8 750€

    Après
    Elodie sourire après
    Avant
    Elodie sourire avant

    Souhait de Sylvia : retrouver un sourire sain et esthétique après des années d’infections

    Situation dentaire avant soins : infections, douleurs chroniques, dents fragilisées

    Soins réalisés : restauration complète

    • Maxillaire supérieur : extractions, greffe osseuse, sinus lift, 4 implants titane et bridge de 12 unités en céramique zirconium
    • Maxillaire inférieur : extractions, 3 implants titane, traitement radiculaire et bridge de 12 unités en céramique zirconium

    Prix avec Smile Partner : 23 100€
    Prix constaté en France : 38 500€

    Après
    Avant

    Souhait de Jérome : retrouver un sourire complet, harmonieux et durable.

    Situation dentaire avant soins : parodontite, déchaussement des dents et des dents manquantes

    Soins réalisés : réhabilitation complète des deux arcades

    • Maxillaire supérieur : extractions, pose de 12 couronnes en céramique zircone
    • Maxillaire inférieur : extractions, pose de 14 couronnes en céramique zircone

    Prix avec Smile Partner : 12 890€
    Prix constaté en France : 28 000€

    Après
    sourire de philippe apres
    Avant
    photo-avant-soins-dentaires

    Vous aussi, concrétisez votre projet dentaire !

    Smile Partner accompagne les personnes souhaitant réaliser des soins dentaires à l’étranger.

    Complétez le formulaire ci-dessous pour obtenir une estimation gratuite sous 48 h et être orienté vers la clinique partenaire la plus adaptée à votre situation.

    Charles au téléphone avec un patient

    Comme Michel, vous envisagez des soins dentaires ?

    Complétez notre formulaire en ligne pour qu'un expert Smile Partner puisse étudier votre projet dentaire. Vous serez recontacté rapidement pour échanger ensemble sur la meilleure approche à adopter.

      Qui est concerné par ce projet dentaire ?
      Veuillez renseigner votre nom.
      Veuillez renseigner votre prénom.
      Veuillez renseigner une adresse email valide.
      Veuillez renseigner un numéro de téléphone valide.
      Quelle destination envisagez-vous ?
      Veuillez choisir au moins une réponse.
      Quels sont vos besoins ?
      Veuillez renseigner votre message.
      Ajoutez ici les documents utiles à l'étude de votre demande (radio, photos, devis dentaire).Fichiers téléchargésFormats acceptés : png, jpeg, jpg, pdf, zip, gifTaille max : 11 MoVous n’avez pas ces documents en votre possession ou vous ne parvenez pas à les envoyer ? Ça peut arriver ! Vous pourrez nous les transmettre plus tard par e-mail.
      Vous ne pouvez pas transférer plus de 11Mo de fichier. Veuillez supprimer ou compresser des fichiers.
      Veuillez accepter cette condition pour envoyer votre message.
      Veuillez accepter cette condition pour envoyer votre message.
      * Champs obligatoires

      En 48 heures et sans engagement

      L’approche Smile Partner

      Smile Partner accompagne et met en relation les personnes qui souhaitent bénéficier de soins dentaires à l’étranger avec des cliniques partenaires reconnues pour leur expérience en implantologie, prothèses et réhabilitation complète.

      🤝 Notre mission : proposer un accompagnement transparent, un suivi personnalisé et une expérience fluide et rassurante auprès de professionnels qualifiés.

      Suivez le parcours de nos patients à travers nos études de cas

      julien patient Smile Partner
      Restauration dentaire de Julien
      Restauration dentaire de Sylvia
      André patient Smile Partner
      Restauration dentaire de André

      Les questions fréquentes sur les soins dentaires

      Comment obtenir un devis personnalisé ?

      Vous pouvez obtenir un devis personnalisé gratuit et sans engagement en remplissant notre formulaire en ligne.

      Si vous disposez d’une radiographie panoramique récente ou d’autres clichés dentaires, joignez-les lors de votre demande afin que nos chirurgiens-dentistes partenaires puissent établir un diagnostic précis.

      Une fois votre demande envoyée, un conseiller Smile Partner vous recontacte sous 48 heures.

      Combien coûte un billet d’avion pour Budapest ?

      Le prix moyen d’un billet d’avion aller-retour pour Budapest se situe entre 80 € et 180 € selon l’aéroport de départ. Notre équipe vous accompagne dans la réservation de vos billets d’avion afin d’optimiser votre budget et votre séjour.

      Combien de séjours pour des soins dentaires à l'étranger ?

      La durée d’un séjour dentaire dépend de la nature et de l’ampleur des soins.

      Pour des traitements prothétiques (couronnes, bridges), un seul séjour de 5 à 10 jours est souvent suffisant.

      Pour des réhabilitations plus complexes nécessitant des implants, il peut être nécessaire de prévoir 2 à 4 séjours espacés dans le temps.

      Les dentistes à l'étranger sont-ils formés en France ou en Europe ?

      Oui, les dentistes partenaires de Smile Partner en Hongrie (et plus largement en Europe) sont formés dans des universités européennes. Ils participent aussi régulièrement à des congrès internationaux et suivent des formations continues afin de rester à la pointe des techniques dentaires.