Envoi du formulaire en cours. Veuillez ne pas fermer cette page.
Caroline Freuchet
Caroline, fondatrice Smile Partner

Vous recherchez une alternative de soins de qualité à des prix accessibles ? Vous êtes au bon endroit !

Besoin d’un devis gratuit ?

Notre équipe d’experts vous apporte conseils et informations fiables sur les soins dentaires.

    Veuillez taper votre nom.
    Veuillez taper votre prénom.
    Veuillez taper une adresse email valide.
    Veuillez taper un numéro de téléphone valide.
    Veuillez renseigner votre message.
    Veuillez accepter cette condition.
    Veuillez accepter cette condition.

    Connexion SSL certifiée : en cliquant sur "Envoyer" vous acceptez de recevoir des informations par e-mail de la part de Smile Partner.

    *Champs obligatoires

    Ce qu'il faut retenir

    • En France, 1 adulte sur 3 présente des parodontites sévères.
    • Les hommes sont statistiquement plus touchés par les formes avancées.
    • La maladie évolue souvent silencieusement.
    • Tabac, diabète et consultation tardive aggravent le risque.
    • Les cas avancés nécessitent une expertise chirurgicale spécialisée.

    Une maladie fréquente et sous-estimée

    Selon la cohorte française Constances, environ 32 % des adultes présentent des formes sévères de parodontite, impliquant une perte osseuse significative autour des dents (source : constances.fr).

    L’Organisation mondiale de la santé souligne par ailleurs que la région Europe présente l’une des plus fortes prévalences mondiales de maladies bucco-dentaires graves (source : OMS). La parodontite n’est donc pas une pathologie rare. C’est un véritable enjeu de santé publique.

    Pourquoi les hommes sont-ils plus concernés par les formes sévères ?

    Il ne s’agit pas d’une différence biologique simple ou automatique, mais d’un ensemble de facteurs qui, combinés, augmentent le risque de diagnostic tardif et de perte osseuse importante. Voici les principaux facteurs explicatifs :

    Consultation plus tardive

    Les hommes consultent en moyenne moins régulièrement en prévention, ce qui retarde la détection et le traitement.

    Tabagisme

    En Europe, environ 1 adulte sur 5 est fumeur, un facteur directement associé aux formes sévères de parodontite (source : wikipedia).

    Pathologies associées

    Le diabète augmente de manière significative le risque et la gravité de la parodontite. Les maladies cardiovasculaires également.

    Progression silencieuse

    L’absence de douleur retarde la prise de conscience. Beaucoup d’hommes consultent lorsque la mobilité dentaire apparaît déjà.

    Vous avez des questions et vous souhaitez des réponses dès maintenant ?

    Contactez nos conseillers en France, au 02 41 48 44 09, ils vous répondent du lundi au vendredi de 09h à 18h.

    Charles au téléphone avec un patient

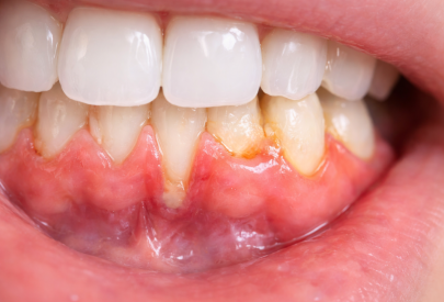
    Les signes d’une parodontite déjà avancée

    À un stade précoce, la parodontite peut passer inaperçue.
    En revanche, lorsqu’elle devient avancée, certains signes sont caractéristiques et traduisent une atteinte osseuse significative.

    L’objectif ici n’est pas d’alarmer, mais d’aider à identifier les situations qui nécessitent une évaluation approfondie.

    Comment reconnaître une forme avancée ?

      1 Mobilité dentaire 3 Espaces qui s’ouvrent entre les dents
     

    Une dent qui bouge n’est jamais anodine. La mobilité est souvent le signe que la perte osseuse est déjà importante.

    Un signe fréquent avancé est l’apparition de nouveaux espaces. Ces changements indiquent un affaiblissement du support parodontal.

      2 Perte osseuse visible à la radiographie 4 Plusieurs zones atteintes
     

    La parodontite détruit l’os progressivement, sans provoquer de douleur immédiate. C’est souvent lors d’un examen radiologique que l’on découvre un abaissement du niveau osseux et une atteinte autour de plusieurs dents.



    Lorsque plusieurs secteurs sont touchés, plusieurs dents présentent une mobilité et la perte osseuse est généralisée, on parle alors d’atteinte étendue, nécessitant une stratégie globale et non un traitement isolé dent par dent.

     

    • Pourquoi ces signes doivent être pris au sérieux ?

    À ce stade, il ne s’agit plus seulement d’une inflammation gingivale. La structure osseuse qui maintient les dents est atteinte. Plus la destruction progresse :

    • plus la stabilisation devient délicate

    • plus les options conservatrices diminuent

    • plus une reconstruction peut devenir nécessaire

    Identifier ces signes permet d’orienter rapidement vers un diagnostic approfondi et, si besoin, vers une prise en charge spécialisée adaptée aux cas complexes. Un bilan précis reste la seule manière d’évaluer le niveau réel d’atteinte et les solutions possibles.

    Besoin d'un diagnostic approfondi ?

    Nos conseillers sont à votre écoute pour vous guider dans la réalisation de votre projet.

    Quand la situation devient un cas complexe

    Dans les formes avancées, la maladie atteint l’os de manière importante.

    On peut observer :
    → Perte osseuse significative
    → Plusieurs dents mobiles
    → Atteinte généralisée
    → Échecs de traitements antérieurs

    À ce stade, il ne s’agit plus seulement de traiter une inflammation locale, mais de mettre en place une stratégie globale de stabilisation et, si nécessaire, de reconstruction.

    Peut-on sauver des dents mobiles ?

    Oui, dans de nombreux cas.

    Si le support osseux restant est suffisant et si l’inflammation est stabilisée, il est possible de préserver les dents viables grâce à :

    • Assainissement parodontal approfondi
    • Stabilisation par contention
    • Chirurgie parodontale
    • Régénération osseuse selon la configuration

    L’objectif est toujours de conserver les dents lorsque cela est médicalement possible.

    Quand faut-il envisager une reconstruction ?

    Si certaines dents ne peuvent plus être stabilisées de manière fiable, une reconstruction peut être envisagée :

    1. Extraction stratégique
    2. Régénération osseuse préalable
    3. Pose d’implant après stabilisation complète
    4. Réhabilitation globale en cas d’atteinte multiple

    La décision repose sur un diagnostic complet et une analyse précise de la situation.

    Pourquoi le diagnostic est essentiel ?

    La parodontite détruit progressivement l’os sans provoquer de douleur immédiate.

    Plus la prise en charge est tardive :

    • Plus les traitements sont lourds
    • Plus les options conservatrices diminuent
    • Plus la reconstruction devient complexe

    Un diagnostic précoce élargit les possibilités thérapeutiques.

    Vous observez un déchaussement dentaire?

    Notre équipe vous accompagne de la définition de votre projet jusqu’à sa réalisation et vous facilite les démarches administratives

    Découvrez nos
    4 cliniques partenaires

    Grâce à notre sélection de cliniques partenaires nous rendons accessibles des soins dentaires de qualité tout en garantissant une communication fluide.

    En savoir plus sur cette clinique
    clinique dentaire el cedro tenerife

    Clinique EL CEDRO

    Tenerife
    Espagne
    En savoir plus sur cette clinique
    Dr Leticia Rodriguez clinique EL Cedro Barcelone

    Clinique EL CEDRO

    Barcelone
    Espagne
    En savoir plus sur cette clinique
    clinique kiralydent en hongrie

    Clinique KIRALYDENT

    Budapest
    Hongrie
    En savoir plus sur cette clinique
    clinique dentaire mercz dental

    Clinique MERCZ DENTAL

    Budapest
    Hongrie

    FAQ "Maladies parodontales chez l’homme"

    Comment savoir si ma situation est déjà avancée ?

    Une mobilité dentaire, une perte osseuse visible à la radiographie, des espaces qui s’agrandissent entre les dents ou plusieurs zones atteintes sont des signes d’atteinte avancée.

    Seul un diagnostic complet permet d’évaluer précisément le niveau réel de gravité.

    Une dent mobile peut-elle encore être sauvée ?

    Oui, dans de nombreux cas. Si l’os restant est suffisant et que l’inflammation est maîtrisée, une stabilisation est possible.

    L’objectif est toujours de conserver les dents viables avant d’envisager une reconstruction.

    Quand faut-il envisager une extraction ou des implants ?

    Uniquement lorsque la dent ne peut plus être stabilisée de manière fiable. La priorité est d’abord de contrôler la maladie.

    Les implants ne sont envisagés qu’après stabilisation complète et analyse du support osseux.

    Pourquoi ne faut-il pas attendre l’apparition de la douleur ?

    Parce que la douleur est souvent un signe tardif. Lorsqu’elle apparaît, la perte osseuse est parfois déjà avancée.

    Un diagnostic précoce permet de préserver davantage de solutions.

    Le tabac influence-t-il vraiment la gravité ?

    Oui. Le tabac augmente significativement le risque de formes sévères et ralentit la cicatrisation.

    Envie d’en savoir plus ?

    Rédactrice web chez Smile Partner
    Article rédigé par : Solyne PROUST, Rédactrice web pour Smile Partner

    Solyne est rédactrice web pour l’agence Smile Partner. Dotée d’une forte appétence pour la lecture et l’écriture, elle aime apprendre quotidiennement et développer ses connaissances en matière de soins dentaires auprès de nos dentistes partenaires.

    Dr Fradique Montes
    Article vérifié par : Dr Fradique MONTES Chirurgien-dentiste à la clinique EL CEDRO Barcelone

    Dr Fradique MONTES NARVAES est chirurgien-dentiste agréé à la clinique dentaire EL CEDRO Barcelone. Diplômé d’une licence en odontologie, d’un master en chirurgie dentaire et régénération osseuse, et d’un doctorat en chirurgie dentaire, il maîtrise les soins dentaires à la perfection.

    On ne se quitte plus

    Retrouvez-nous sur les réseaux sociaux.