Le guide de l'hygiène dentaire
by Smile Partner
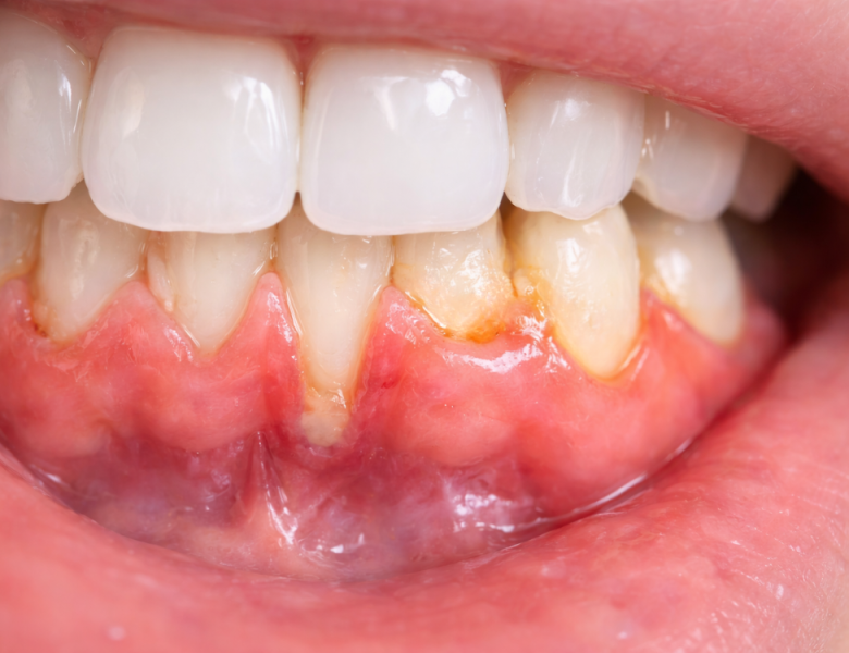
Vous cherchez des informations fiables sur la santé bucco-dentaire ? Vous êtes au bon endroit ! Découvrez nos articles les plus récents sur l'hygiène dentaire. Une source d'informations vérifiée par nos dentistes partenaires.





























